إرشادات مقترحات البحث معلومات خط الزمن الفهارس الخرائط الصور الوثائق الأقسام

مقاتل من الصحراء
Home Page / الأقســام / موضوعات متنوعة / الموسوعة المصغرة للحيوان











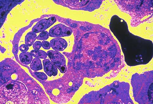
طفيل الملاريا داخل خلية من خلايا الإنسان المصاب